提起白内障的名字,几乎每个人都有所耳闻,也听说过白内障会影响视力,但很多人却不知道白内障长什么样子。
有人问:眼睛上长了一块白色的“肉”,这就是白内障吗?

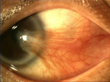
答案是否定的,这不是白内障,这也是一种眼睛疾病,叫翼状胬肉,发生在眼表,为睑裂部球结膜与角膜上一种赘生组织,呈三角形,俗称“鱼肉”。胬肉会慢慢往角膜发展,甚至可覆盖至瞳孔区而严重影响视力。
在胬肉出现初期,患者多无自觉症状或仅有轻度不适,在胬肉伸展至角膜时,由于牵扯而产生散光;或因胬肉伸入角膜表面生长遮蔽睡孔而造成视力障碍,严重时甚至可以发生不同程度地影响眼球运动。
而白内障发生在晶状体,是由于晶状体代谢紊乱引起的晶状体浑浊。一般是无法用肉眼观察到的,除非是一些比较严重的特殊病例才能看到瞳孔处变白。
出现白内障的患者常常伴随视物模糊、怕光、看物体颜色较暗或呈黄色等症状,而严重的白内障还可引起眼部并发症,如青光眼等,发展到后患者甚至可能失明。
两种不同眼病,治疗方式也有所不同
翼状胬肉:静止期观察,进行期手术
按胬肉的发展状态,其可分为进行期和静止期两种类型。进行期翼状胬肉的头部隆起、前端有浸润,体部充血、增厚,向角膜内生长。静止期翼状胬肉头部平坦、不充血,呈微红色,体部菲薄,处于相对静止状态,但不自行消退。
治疗翼状胬肉的关键就是看胬肉的发展程度,如果是处于静止期,且不影响视力的翼状胬肉可以不用治疗,以观察为主。

(静止性翼状胬肉)
如果患者是进行期翼状胬肉,或是已接近瞳孔区影响视力,导致眼球转动受限时,则可以手术将其切除。目前,希玛眼科切除翼状胬肉的方法主要有三种:单纯胬肉切除术、胬肉切除+抗代谢药物、胬肉切除+自身结膜移植术。

(以胬肉切除+自身结膜移植术为例,图左:切除胬肉;图中、右:移植自身结膜)
白内障:影响患者日常生活时即可考虑手术
与翼状胬肉相似的是,白内障在初期时也可先暂时观察,但如果病情影响到了患者的日常生活,患者就可以考虑进行手术了。因为如今的白内障技术已成熟,患者也无需等到白内障成熟才手术。白内障拖太久容易引起并发症,也可能给手术增加难度。

深圳希玛林顺潮眼科医院的微创白内障超声乳化手术以微创方式,先在角膜边缘制造3个小切口,再通过超声乳化棒将混浊的晶状体震溶并吸出之后,同时植入房型人工晶状体。