提起类风湿性关节炎就会让人想起那个神奇的梗:患有此病的人拥有预测下雨的能力。虽然很多人感觉挺搞笑,而事实上患上这种病是很痛苦的,不仅会导致关节变形甚至还会闹上眼睛引起巩膜眼炎,严重威胁患者的视力健康。
巩膜炎是一个多因素、多诱因所致的胶原性疾病,多发于青年或成年人,女性多于男性,双眼可先后或同时发病。除风湿性关节炎可引起该病,痛风、梅毒、系统性红斑狼疮、复发性多软骨炎等结缔组织病同样可以诱发巩膜炎。巩膜炎的严重性主要体现在其临床表现方面,如不及时治疗可引起巩膜穿孔,甚至会导致失明。
风湿性关节炎为什么会引起巩膜炎?
尽管类风性关节炎的病理是以关节病变为主,但是患者如果没有得到有效和及时的治疗,病情发展到晚期,同样会引起患者全身多个器官系统性病理改变,眼睛亦是如此。
在风湿性关节炎发展到后期,眼睛会不断受到淋巴细胞浸润,同时还伴有少数血管增生,而这些终都会坏死溶解,逐渐取代结缔组织,因此巩膜就会发生病变。
根据巩膜炎表现症状的不同,还可以分为前巩膜炎和后巩膜炎两种。
前巩膜炎:

前巩膜炎是一种较为常见的眼病,病变位置常在赤道部前,多表现为眼球剧烈的疼痛,疼痛会持续数周,部分患者还可能并发白内障、葡萄膜炎以及角膜炎等症状。
后巩膜炎:后巩膜炎是指发病于后方巩膜的眼病,同样可诱发白内障和青光眼。该病会对眼球后部组织造成较为严重破坏,但此病外眼无明显特征,在诊断时很少考虑到它,所以后巩膜炎漏诊率较高。
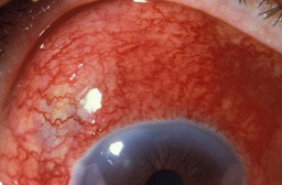
巩膜炎的症状
巩膜炎多表现为眼痛、眼红,有压痛,部分患者还会出现水肿隆起等症状。可根据炎症的程度分为浅层巩膜炎和巩膜炎。

(结节性表层巩膜炎)
浅层巩膜炎发病于巩膜表层,通常是单眼急性发病,发病的眼睛一般表现为红痛,视力无明显下降,此病与自身免疫有关,易复发。
巩膜炎与表层巩膜炎相比并不多见,是以眼红和视力下降为始发症状,以重度眼痛为主要特点的巩膜感染性疾病,发病急,双眼可先后或同时发生,常伴发角膜及葡萄膜炎等,预后不佳。
巩膜炎对视力的影响较大,因此患有自身免疫或自身过敏反应的病人需要积极预防此病,预防并发症的措施主要包括早期诊断,查找确切病因,应用有效药物对症治疗,对视力严重损伤严重的患者,家属应照顾周到,以免因行动不便造成其他的伤害。该病一般治疗周期较长,因此治疗上应持之以恒,局部病症消失后,仍应维持治疗2~3周,以防止复发,如经用药视力仍继续恶化,病情严重可能引起失明,应迅速送医院治疗。